
波束發射和采集技術,解決分辨力和穿透力的矛盾,同時提高圖像質量及穿透深度

獨有信號增強技術,通過處理波束之間的信息,提升信號強度,提升圖像質量

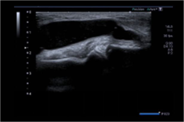
收集不同方向的回波所帶來的多層次信息進行成像,減少偽影及斑點噪聲

Xario超聲配備全面的探頭,滿足術中、腔內、3D、經食道心臟成像等多種應用

可調節機身以及全方位可調的屏幕關節臂給您友好的人機工作環境,滿足不同臨床需求。系統高質量的LCD顯示屏,可多方向調節的屏幕關節臂可將屏幕移動或傾斜到相應位置,用合適的角度觀察圖像,保護您的頸部、肩感和視力。按鍵可自定義功能,滿足不同的操作習慣

ADF運用寬頻帶窄脈沖技術讓多普勒成像模式具有敏感度和空間分辨率

一整套完備的解決方案,具有全面的成像模式,包括表面成像,斷層切面成像和多平面重建成像等

全方位的具有原始數據功能的彈性解決方案幫助您定位并評估淺表占位,準確性高,敏感度高,效率高,適用于不同臨床應用。在圖像中彩色編碼組織彈性的不同程度,使可疑組織可視化

可連續獲取超聲圖像,擴展視野,采集大面積的診斷信息

拓展相控陣和線陣探頭視野,良好地觀察感興趣區
注: 禁忌內容或者注意事項詳見說明書
注冊證號: 國械注進20192062006
產品名稱: 超聲診斷設備
型號:XARIO 100 TUS-X100
生產廠商: 佳能醫療系統株式會社 キヤノンメディカルシステムズ株式會社
代理人:佳能醫療系統(中國)有限公司
京械廣審(文)第240427-02652號
藥品醫療器械網絡信息服務備案編號:(京)網藥械信息備字(2023)第 00456 號
歡迎訪問佳能醫療系統(中國)有限公司對外開放網站。在該網站上,佳能醫療系統(中國)有限公司對外開放網站將為您提供各種信息、軟件、產品、下載、文檔、通信、文件、文本、圖形、出版物、內容、工具、論壇、資源和服務。
在 使用本網站之前請仔細閱讀本站的服務條款。無論以任何方式訪問和使用本網站,均視為您同意并接受本文檔中所述服務條款的制約("服務條款")。如果不同意 服務條款中包含的所有條款和條件,請不要以任何方式使用本網站。服務條款是由佳能醫療系統(中國)有限公司對外開放網站和您之間達成的。如果代表您的雇主 使用本網站,則表明您已獲授權代表您的雇主接受這些服務條款。
佳能醫療系統(中國)有限公司對外開放網站保留隨時自行決定修改、改正、更新或刪除部分服務條款的權利,恕不另行通知。請隨時參閱服務條款的更改。本條款更改公布后如果您繼續使用本網站,則視為您已同意本使用條款更改后的條款。
信息使用限制條款
網站上的所有材料均受版權保護,歸 佳能醫療系統(中國)有限公司對外開放網站或第三方許可者所有。所有商標、服務標志和商標名稱均歸佳能醫療系統(中國)有限公司對外開放網站或第三方許可者專有。
除非另有說明,本網站上的材料和服務僅用于個人和非商業用途,未經佳能醫療系統(中國)有限公司對外開放網站書面許可,不得修改、復制、分發、傳遞、顯示、執行、重新制作、出版、許可、創建衍生作品、轉讓或出售從本網站獲得的任何信息、軟件、產品或服務。
隱私保護
東 芝醫療系統(中國)有限公司對外開放網站尊重您的隱私權利。 如果選擇繼續,表示你同意佳能醫療系統(中國)有限公司對外開放網站的服務條款。你的信息也許會在任何其它國家被佳能醫療系統(中國)有限公司對外開放網 站或者佳能醫療系統(中國)有限公司對外開放網站的代表和授權維護機構存儲并處理。但這些信息將受到高度的保護,而且將被存儲在一個安全而且受控制的環境 中。如果你使用這個網站,表示你同意在你的國家之外進行這樣的信息傳輸,也表示你同意我們的隱私和安全性政策。
下載軟件的服務條款
任 何可從本網站下載的軟件("軟件")均為佳能醫療系統(中國)有限公司對外開放網站或其供應商的版權保護作品。軟件的使用受軟件("許可證協議")附帶的 或伴隨軟件的網頁上明確聲明的最終用戶許可證協議(如果有)的制約。除非首先同意許可證協議條款,否則,最終用戶將不能下載或安裝伴有或包括許可證協議的 任何軟件。
軟件只能由最終用戶根據許可證協議下載使用。法律明確禁止不符合許可證協議的任何使用、重新制作或重新分發,而且這些行為可能導致嚴重的民事和刑事處罰。違規者將在可能的最大程度內受到起訴。如果沒有許可證協議,則軟件的使用將受服務條款的制約。
除上述限制外,明確禁止將軟件復制到任何其它服務器或位置進行進一步重新制作或重新分發,除非軟件所附的許可證協議明確許可這些重新復制或重新分發。
軟件僅根據許可證協議的條款進行服務支持。除許可證協議中的擔保之外,佳能醫療系統(中國)有限公司對外開放網站公司在此聲明不負責與軟件有關的所有其它擔保和條件,包括適銷性(包括明示、暗示或法律的)、特定用途適應性、產權和非侵權的所有擔保和條件。
為 方便起見,佳能醫療系統(中國)有限公司對外開放網站可能作為其服務的一部分或在其資料或軟件產品中提供可讓用戶使用或下載的工具和實用程序。佳能醫療系 統(中國)有限公司對外開放網站對因為任何使用這些工具和實用程序所引發的結果或輸出結果的準確性不做任何保證。在使用服務或佳能醫療系統(中國)有限公 司對外開放網站軟件產品中提供的工具和實用程序時,用戶應尊重他人的知識產權。
網站發布發布之文檔及相關出版物的服務條款
除本網站明確禁止外,如果您同意以下條款,則可以查看、復制、打印和分發本網站內的出版材料和文檔(如常見問題、白皮書、產品介紹、新聞發布等):
a) 您對信息的使用僅限于信息性、個人和非商業用途
b) 您能保證不會修改文檔、出版材料或圖形
c) 您能保證不會獨立于伴隨文本復制或分發圖形,并且不會脫離其上下文引用材料
d) 您將在您制作的每個副本上顯示以下版權通知和其它專有通知
e) 您同意佳能醫療系統(中國)有限公司對外開放網站可以隨時撤消此許可,并且一旦收到佳能醫療系統(中國)有限公司對外開放網站通知應立即停止與此許可有關的活動。
法律明確禁止用于任何其它用途,并且這些使用可能導致嚴重的民事和刑事處罰。違規者將在可能的最大程度內受到起訴。
文檔和出版物的上述使用許可不包括復制本網站設計要素、外觀或布局的許可。網站的這些要素受法律保護,如商業裝飾、商標、不公平競爭和其它法律,而且不得 全部或部分復制或模仿。除非佳能醫療系統(中國)有限公司對外開放網站明確許可,否則,不得復制或轉發本網站的任何徽標、圖形、聲音或圖像。
除非明確說明,否則,佳能醫療系統(中國)有限公司對外開放網站或其各個供應商并未表示網站上出版的文檔和出版物及相關圖形中所含的信息適用于任何用途。 除非明確說明,否則,所有此類文檔和相關圖形均"原封不動"提供,沒有任何類型的擔保。除非明確說明,否則,佳能醫療系統(中國)有限公司對外開放網站或 其各個供應商在此聲明不負責與該信息有關的所有擔保和條件,包括適銷性(包括明示、暗示或法律的)、特定用途適應性、產權和非侵權的所有擔保和條件。佳能 醫療系統(中國)有限公司對外開放網站或其各個供應商對源自或與使用或執行本網站信息有關的使用丟失(數據丟失或利潤損失)所導致的任何特殊、間接或后續 損害或任何損害不承擔任何責任,無論是合同行為、疏忽還是其它侵權行為。
所出版的服務文檔和相關圖形可能含有技術錯誤或排字錯誤。因此會定期添加更改信息。佳能醫療系統(中國)有限公司對外開放網站或其各個供應商可能隨時改進或更改此處介紹的產品或程序,恕不另行通知。
其他有關網站信息使用的聲明
除非明確說明,否則,所有信息、軟件、文檔、資料、服務和出版物均"原封不動"提供,沒有任何類型的擔保。佳能醫療系統(中國)有限公司對外開放網站在此 否認所有明示或暗示的擔保,包括但不限于適銷性或特定用途適應性的暗示擔保。此外,除非明確說明,否則,佳能醫療系統(中國)有限公司對外開放網站拒絕非 侵權、產品或平靜權的任何擔保。佳能醫療系統(中國)有限公司對外開放網站或其各個供應商對源自或與使用本網站有關的使用信息丟失(數據丟失或利潤損失) 所導致的任何特殊、間接或后續損害或任何損害不承擔任何責任,具體包括使用或執行本網站的軟件、文檔、材料、出版物、提供或無法提供服務的規定或信息,無 論是合同行為、疏忽還是其它侵權行為。
除非明確說明,否則,由用戶承擔有關本網站、材料、出版物和文檔中所含信息的適應性和準確性的所有風險。網站、材料、出版物和文檔可能含有技術錯誤或排字 錯誤。佳能醫療系統(中國)有限公司對外開放網站對此不承擔任何責任,并且不對網站、材料、出版物和文檔及任何其它參考中的任何此類不準確之處、錯誤或遺 漏承擔任何責任。
佳能醫療系統(中國)有限公司對外開放網站可能隨時更改網站、信息、軟件、文檔、出版物、價格、技術規格、產品以及網站上的任何其它信息和材料,恕不另行通知。
網站含有與第三方站點的鏈接,這些站點不在佳能醫療系統(中國)有限公司對外開放網站的控制之下,佳能醫療系統(中國)有限公司對外開放網站不對任何鏈接 站點或鏈接站點中所含的任何鏈接上的內容或這些站點的任何變更或更新承擔責任。佳能醫療系統(中國)有限公司對外開放網站不對從任何鏈接站點收到的 web 廣播或任何其它類型的傳輸信息承擔責任。佳能醫療系統(中國)有限公司對外開放網站提供這些鏈接的目的只是為了您的方便,而且包含任何鏈接并不表示佳能醫 療系統(中國)有限公司對外開放網站支持或對這些第三方站點上的內容承擔任何責任。
用戶信息注冊及安全
如果網站上的任何服務要求您開立帳戶,您都必須完成注冊過程,按照適用注冊表的提示給我們提供真實、最新、完整和準確的信息,并且您將保存并及時更新這些 信息,以保持其真實性、時效性、完整性和準確性。您還將選擇一個密碼和用戶名。您對自己密碼和帳戶的保密負全部責任。此外,您還對自己帳戶下發生的任何和 所有活動負全部責任。您同意將您帳戶未經授權的任何使用或任何其它安全違規立即通知佳能醫療系統(中國)有限公司對外開放網站。佳能醫療系統(中國)有限 公司對外開放網站對由于其他人使用您的密碼或帳戶給您帶來的任何損失不承擔責任,無論您是否知道。但是,對于因為他人使用您的帳戶或密碼,而由佳能醫療系 統(中國)有限公司對外開放網站或另一方引發的損失,責任不由您負。未經帳戶持有者的許可,任何時候都不得使用任何他人的帳戶。您確認并同意,某些服務可 以對客戶信息(如姓名及您合同的某些條款)提供密碼限制訪問。使用本網站和注冊這些服務,表明您同意佳能醫療系統(中國)有限公司對外開放網站通過服務顯 示的這些信息,并接受此類信息未授權訪問的所有風險。如果您提供了任何錯誤、不準確、過時或不完整的信息,或佳能醫療系統(中國)有限公司對外開放網站有 合理的理由懷疑這些信息錯誤、不準確、不及時或不完整,則佳能醫療系統(中國)有限公司對外開放網站可以暫停或終止您的帳戶,并拒絕目前或未來對服務或其 中任何部分的任何及所有使用。為使用服務所引發的所有成本和費用由您承擔,包括但不限于電話費和電信設備。
網站內容拒絕被應用于非法及不恰當用途
作 為使用本網站的一個條件,不得使用本網站進行任何非法或這些條款、條件和通知禁止的用途。不得以可能損害、損毀、超載或削弱任何佳能醫療系統(中國)有限 公司對外開放網站服務器或與任何佳能醫療系統(中國)有限公司對外開放網站服務器連接的網絡或干擾任何其他一方使用本網站的方式使用服務。不得通過駭客、 密碼挖掘或任何其它手段嘗試對連接到任何佳能醫療系統(中國)有限公司對外開放網站服務器或本網站的服務、材料、其它帳戶、計算機系統或網絡進行未經授權 的訪問。不得通過任何手段故意獲取或嘗試獲取本網站未提供的任何材料或信息。
網站服務性內容服務條款
本網站可能含有電子郵件服務、公告牌服務、聊天區、新聞組、論壇、社區、個人 web 頁、日歷、相冊或其它旨在使您與其它服務(每個稱為"通信服務",統稱為"通信服務")通信的消息或通信設備。您同意僅使用通信服務來發布、發送和接收適 當的及與特定通信服務有關的消息和材料。舉例來說,但不作為一項限制,您同意在使用通信服務或本網站時,不會:
使用通信服務或本網站進行與調查、競賽、金字塔計劃、連鎖信、垃圾郵件、兜售信 息或任何重復或未經請求的消息(商業或其它)有關的活動。
誹謗、濫用、騷擾、威脅或違反他人的合法權利(如隱私或公開權)。
出版、發布、上傳、分發或散布任何不適宜、粗俗、誹謗、淫穢、對未成年人淫穢、 兒童色情描寫、種族主義、下流、淫蕩、污穢、過度暴力、騷擾、猥褻、非法或令人厭惡 的話題、名稱、材料或信息。
上傳或發布含有受知識產權法(包括但不限于版權或商標法,或根據隱私保護或公開 權)保護的圖像、照片、軟件或其它材料的文件,除非自己所有或具有控制權,或者已獲 得所有必要的許可。
以侵犯任何版權、商標、專利、貿易秘密或任何一方其它專有權的任何形式,使用通 過本網站發布的任何材料或信息(包括圖像或照片)。
上傳含有病毒、木馬、蠕蟲、定時炸彈、cancelbots、破壞文件或任何其它可能損害 他人計算機操作或他人財產的類似軟件或程序的文件。
廣告或幫助銷售或購買任何商品或服務用于任何商業目的,除非此類通信服務特別允 許這些消息。
下載通信服務的另一用戶發布的任何文件,而且您知道或在合理情況下應當知道這些 文件不能以這種方式合法復制、顯示、執行或分發。
篡改或刪除任何版權管理信息,如上傳文件中所含軟件或其它材料的產地或來源的作 者歸屬、法律或其它適當聲明或所有權認定或標簽。
限制或禁止任何其它用戶使用和享用通信服務。
違反任何行為代碼或其它可能適用于任何特定通信服務的準則。
采集或收集有關他人的信息,包括電子郵件地址。
違反任何適用法律或法規。
創建虛假身份誤導他人。
使用、下載或復制或向某個人員或實體提供(無論免費還是收費)通信服務用戶的任 何目錄或其他用戶或使用信息或任何部分。
使用任何佳能醫療系統(中國)有限公司對外開放網站域名作為您從其它位置或通過其它服務發送的任何通過其它服務發送的任何通信的筆名退回電子郵件地址。
向任何佳能醫療系統(中國)有限公司對外開放網站帳戶持有人或任何佳能醫療系統(中國)有限公司對外開放網站或所屬電子郵件 地址傳送未經請求的郵件或成批通信郵件(無論是否使用本網站來傳送任何此類通信)。
干擾正常的對話流,造成屏幕"滾動"速度高于網站其它用戶的最大鍵入速度,或以負面影響其它用戶參與實時交換能力的方式操作。
佳能醫療系統(中國)有限公司對外開放網站沒有義務監控通信服務。但是,佳能醫療系統(中國)有限公司對外開放網站保留審查發布到通信服務的材料以及自行決 定刪除或編輯任何材料的權利。佳能醫療系統(中國)有限公司對外開放網站保留在不通知的情況下,以任何理由隨時終止您訪問任何或所有通信服務的權利。
佳能醫療系統(中國)有限公司對外開放網站始終保留公開佳能醫療系統(中國)有限公司對外開放網站認為滿足任何適用法律、法規、法律手續或政府要求所必需的任何信息,保留自行決定編輯、拒絕發布或刪除任何信息或材料(全部或部分)的權利。
在 任何通信服務中提供有關您自己或您子女的任何可識別身份的信息時,始終使用警告。佳能醫療系統(中國)有限公司對外開放網站不控制或支持任何通信服務中的 內容、消息或信息,因此,佳能醫療系統(中國)有限公司對外開放網站特別聲明不承擔與通信服務或因為您參與任何通信服務所產生的任何行為有關的任何責任。 管理人員和主持人不是佳能醫療系統(中國)有限公司對外開放網站授權發言人,他們的看法不一定反映佳能醫療系統(中國)有限公司對外開放網站的觀點。
上傳到通信服務的材料可能受發布的使用、復制或傳播限制的制約;如果下載這些材料,則要遵循這些限制。
用戶信息提供條款
除 非另有說明,對您提供給佳能醫療系統(中國)有限公司對外開放網站的材料(包括但不限于信息、想法、概念、技術、反饋、數據、問題、注釋和建議或類似材 料)或發布、上傳、輸入或提交到本網站或其關聯服務供佳能醫療系統(中國)有限公司對外開放網站、公眾或任何公共或私人社區成員審查的材料(每個稱為一 個"提交",統稱為"提交"),佳能醫療系統(中國)有限公司對外開放網站不要求所有權,而且,這類提交應視為非保密。但是,如果發布、上傳、輸入、提供 或提交("發布")您的提交,則表示您授予佳能醫療系統(中國)有限公司對外開放網站及其所屬公司和必要分許可人在經營其業務(包括但不限于所有佳能醫療 系統(中國)有限公司對外開放網站服務)過程中使用您的提交,包括但不限于以下許可權利:拷貝、分發、傳送、公開顯示、公開執行、復制、編輯、修改、翻譯 和重定您提交的格式;與您的提交一起出版您的姓名;開發、生產和推廣融合了這些想法、概念或技術的產品;以及向本網站上服務或材料的任何供應商再許可這些 權利的權利。
在這里,佳能醫療系統(中國)有限公司對外開放網站將不支付與使用您的提交有關的任何補償費用。佳能醫療系統(中國)有限公司對外開放網站沒有任何義務發 布或使用您可能提供的任何提交,并且佳能醫療系統(中國)有限公司對外開放網站可以自行決定隨時刪除任何提交。
發布提交,表明您保證并聲明它是您自己的提交或您控制著這些服務條款中描述的所有權利,包括但不限于提供、發布、上傳、輸入或提交這些提交的所有必要權利。
除 上述保證和聲明之外,發布含有圖像、照片、圖片(無論全部還是部分)的提交("圖像"),表明您保證并聲明:(a) 您是這些圖像的版權所有者,或這些圖像的版權所有者授權您以符合您的使用方式和用途或這些服務條款和本網站許可的方式和用途,使用這些圖像或這些圖像中包 含的任何內容或圖像,(b) 您擁有授予這些服務條款中描述的許可和分許可的必要權利,(c) 這些圖像中描述的每個人(如果有)均已同意您使用這些服務條款中規定的圖像,包括但不限于這些圖像的分發、公開顯示和復制。發布圖像,表明您授予:(a) 您私人社區的所有成員(每個此類圖像均可用于這種私人社區的成員),或 (b) 公眾(本網站上任何地方發布的此類圖像,而不是私人社區),根據這些服務條款的許可,配合使用您的圖像和本網站上任何服務或材料(包括但不限于制作包括此 類圖像的印刷品和禮品)的許可,包括但不限于非排他性、全球性、免費許可:拷貝、分發、傳送、公開顯示、公開執行、復制、編輯、修改、翻譯和重定您圖像的 格式,而不在此類圖像中注上您的姓名;以及向本網站上服務或材料的任何供應商再許可這些權利的權利。在這里,佳能醫療系統(中國)有限公司對外開放網站將 不支付與使用您的圖像有關的任何補償費用。
您承認佳能醫療系統(中國)有限公司對外開放網站沒有預屏蔽提交,但是佳能醫療系統(中國)有限公司對外開放網站及其指定人員有權(但不是義務)自行決定 阻塞或限制訪問(或可用性)或禁用通過本網站提供的任何提交。在不限制前述規定的情況下,佳能醫療系統(中國)有限公司對外開放網站及其指定人員有權禁 用、限制訪問(或可用性)違反服務條款或含有不良內容的任何提交。用戶必須評估和承擔與使用任何提交有關的所有風險,包括此類提交的準確性、完整性或有用性。
您知道由發出此類提交的人員唯一負責所有這些提交(無論公開發布還是私下傳送)。這意味著由您而不是佳能醫療系統(中國)有限公 司對外開放網站完全負責您通過本網站上傳、發布、提供、輸入、提交或傳送的所有提交。佳能醫療系統(中國)有限公司對外開放網站不控制通過本網站發布的提 交,因此不能保證此類提交的準確性、完整性或質量。您知道,使用本網站將可能面對他人的攻擊性、下流或不良的提交。
信息提交限制條款
東 芝醫療系統(中國)有限公司對外開放網站或其任何雇員不接受或考慮未經請求的想法,包括對新廣告計劃、新促銷、新產品或技術、過程、材料、市場計劃或新產 品名稱的想法。請不要發送任何原創工藝圖、樣品、演示或其它作品。本策略的唯一目的是避免在佳能醫療系統(中國)有限公司對外開放網站的產品或市場策略類 似于提交給佳能醫療系統(中國)有限公司對外開放網站的想法時出現可能的誤解或爭議。因此,請不要向佳能醫療系統(中國)有限公司對外開放網站或佳能醫療 系統(中國)有限公司對外開放網站的任何人員發送您未經請求的想法。盡管我們已請求您不要給我們發送您的想法和材料,但是,如果您仍然發送了,請注意,東 芝醫療系統(中國)有限公司對外開放網站不保證您的想法和材料將被作為公司機密或財產處理。
垃圾郵件及不恰當帖子內容禁止條款
您 同意,如果在傳送違反這些服務條款的兜售信息新聞組發布或未經請求的電子郵件時,因為您或他人使用本網站或設備而給佳能醫療系統(中國)有限公司對外開放 網站造成無法挽回的損害,佳能醫療系統(中國)有限公司對外開放網站有權獲得針對任何此類提交的禁止賠償(以及法律或依衡平法規定的所有其它賠償)。佳能 醫療系統(中國)有限公司對外開放網站保留阻塞、過濾或刪除未經請求的電子郵件的權利。
賠償條款
您同意賠償、保護和使佳能醫療系統(中國)有限公司對外開放網站、分支機構、官員、代理、聯合品牌機構、合作伙伴和雇員免受任何權利要求的損失,包括合理的 律師費以及由于或源自您的提交、您使用本網站所引發的任何第三方索賠,包括您雇員的任何使用、您連接本網站、您違反服務條款或您違反他人的任何權利。
廣告及市場推廣信息服務條款
佳能醫療系統(中國)有限公司對外開放網站可能在本網站運行第三方的廣告和市場推廣。佳能醫療系統(中國)有限公司對外開放網站進行廣告的方式、模式和范 圍隨時變化。您與本網站上的廣告商或通過本網站與廣告商達成的業務交易或參與其促銷(而不是與佳能醫療系統(中國)有限公司對外開放網站)均限于您和這些 廣告商之間的責任,包括有關商品或服務的付款和交付以及與此類交易有關的任何其它條款、條件、擔?;虮硎?。佳能醫療系統(中國)有限公司對外開放網站對因 為任何此類交易或本網站上出現此類非佳能醫療系統(中國)有限公司對外開放網站廣告商所引發的任何類型的任何損失或損害不承擔責任。
常規信息
服務條款構成您和佳能醫療系統(中國)有限公司對外開放網站之間的全部協議,并制約您對本網站的使用,它取代了您就此問題與佳能醫療系統(中國)有限公司 對外開放網站之間以前達成的任何協議(包括但不限于服務條款的任何以前版本)。不管以前的條款如何,如果本使用條款中提出的任何條款與您和佳能醫療系統 (中國)有限公司對外開放網站之間以前達成的(特別是就您使用本網站達成的)截至您使用本網站時仍生效的書面協議的任何條款發生明顯沖突("執行協 議"),應適用執行協議中提出的此類沖突條款。在使用其它佳能醫療系統(中國)有限公司對外開放網站服務、第三方內容或第三方軟件時,您也可能受可能適用 的附加條款和條件的制約。您不得轉讓或轉移服務條款或此處授予的任何權利。
佳能醫療系統(中國)有限公司對外開放網站未能行使或執行 服務條款的任何權利或規定并不意味著放棄此類權利或規定。如果有效管轄權法院發現服務條款的任何規定無效,各方仍然同意法院應努力使規定中反映的各方意向 生效,同時服務條款的其他規定保持全部效力。相反,無論任何法令或法律,對源自或與使用本網站或服務條款有關的行為的任何要求或案由都必須在此類要求或案 由發生后 1 年內報送,否則將被永遠禁止。服務條款中的節標題只是為了方便,沒有任何法律或合同效力。
隱私和安全性
本聲明介紹了佳能醫療系統(中國)有限公司對外開放網站網站的隱私保護做法。
如果選擇繼續,表示你同意佳能醫療系統(中國)有限公司對外開放網站的使用條款。你的信息也許會在任何其它國家被佳能醫療系統(中國)有限公司對外開放網站或者佳能醫療系統(中國)有限公司對外開放網站的代表和授權維護機構存儲并處理。但這些信息將受到高度的保護,而且將被存儲在一個安全而且受控制的環境中。如果你使用這個網站,表示你同意你在注冊時填入的信息將在你所在的國家之外被利用。
佳能醫療系統(中國)有限公司對外開放網站希望證明其對用戶個人隱私的承諾,所以我們同意公開我們的信息處理流程,并承諾在發生下列情況時及時通知你:
有人通過我們的網站從您處收集可識別您個人身份的信息或第三方身份的信息
收集信息的機構
信息的使用方式
信息可能與何人共享
可用于您收集、使用和分發信息的選項
所實施的用來防止 佳能醫療系統(中國)有限公司對外開放網站 控制下的信息被丟失、誤用或修改的安全程序的類型
如何糾正信息中的任何錯誤。
佳能醫療系統(中國)有限公司對外開放網站與您的隱私
佳能醫療系統(中國)有限公司對外開放網站尊重您的隱私權,并且我們知道,作為佳能醫療系統(中國)有限公司對外開放網站的訪問者,您更希望控制自己的個人信息和偏好。由于這一原因,在您訪問佳能醫療系統(中國)有限公司對外開放網站的某些區域、下載免費軟件、請求信息或訂閱佳能醫療系統(中國)有限公司對外開放網站 通訊時,我們可能要求您注冊或提供個人信息和偏好。
我們將密切注意您與我們共享的個人信息,以確保我們在 佳能醫療系統(中國)有限公司對外開放網站(和相關佳能醫療系統(中國)有限公司對外開放網站 站點)上提供的內容、服務和廣告始終能夠根據您當前的指定偏好度身打造。
當您向佳能醫療系統(中國)有限公司對外開放網站提供您的姓名(或別名)、電子郵件地址、郵政地址或電話號碼及您的"選擇參加"時,佳能醫療系統(中國)有限公司對外開放網站和佳能醫療系統(中國)有限公司對外開放網站代表可能使用所提供的信息來通知您產品升級、特殊優惠、更新信息、班級、新服務和其它佳能醫療系統(中國)有限公司對外開放網站相關信息。("代表"包括增值經銷商和授權培訓合作伙伴。)佳能醫療系統(中國)有限公司對外開放網站不向第三方提供或銷售任何用戶提供的信息。
佳能醫療系統(中國)有限公司對外開放網站在選擇接收電子郵件通信時尊重用戶為我們提供的權利,并執行內部策略來保護這些權利。我們的目標是保持與用戶進行長期交流的能力。
如果您不希望佳能醫療系統(中國)有限公司對外開放網站或佳能醫療系統(中國)有限公司對外開放網站 代表與您聯系,可以隨時"選擇退出"此偏好,而無論您是在線還是直接聯系佳能醫療系統(中國)有限公司對外開放網站。作為您偏好靈活性的一部分,您始終可以選擇退出,并讓佳能醫療系統(中國)有限公司對外開放網站根據您以前的或新的偏好聯系您。有關說明,請參閱下面的"聯系我們"一節。
如果您選擇注冊或提供個人信息,仍然可以訪問大多數佳能醫療系統(中國)有限公司對外開放網站 網站;但是,您將不能訪問需要個人 ID 的區域。
佳能醫療系統(中國)有限公司對外開放網站會員和日志文件 (cookies) 的使用
佳能醫療系統(中國)有限公司對外開放網站向所有 佳能醫療系統(中國)有限公司對外開放網站訪問者提供免費的會員身份。為建立會員身份,將要求訪問者提供個人信息和偏好。這些信息將根據您的用戶建立的會員 ID 和密碼進行存儲和保護。
有一個額外的"記住我"選項。選擇它,您將允許佳能醫療系統(中國)有限公司對外開放網站 保存您的會員 ID,這樣當您返回任何 佳能醫療系統(中國)有限公司對外開放網站 Web 站點時,就不必每次重新輸入它了。佳能醫療系統(中國)有限公司對外開放網站通過布置一個僅含有在您返回訪問時足以識別您的信息的日志文件 (cookie) 來記住您。"cookie"是存儲在您 Web 瀏覽器中的一小行文字,用于保存記錄,它可以幫助佳能醫療系統(中國)有限公司對外開放網站為您提供更好的服務。在發送 cookie 時,您的瀏覽器可以選擇接受、拒絕或給您提供通知。
除會員 cookie 中的信息之外,沒有任何信息會被任何佳能醫療系統(中國)有限公司對外開放網站系統訪問。訪問會員信息將始終需要您的會員ID和密碼。
佳能醫療系統(中國)有限公司對外開放網站也在網站中使用訪問者日志文件 (cookies)。一旦用戶進入我們的站點,cookie 將通過他們的點擊流路徑跟蹤他們。被這些 cookie 收集的信息包括用戶訪問我們網站的次數以及到達那里所經過的路徑等。
佳能醫療系統(中國)有限公司對外開放網站 僅以集合形式使用從網站訪問者 cookie 收集的信息,并且不收集任何可識別個人身份的信息。使用這些信息可幫助我們更好地了解用戶要在我們網站尋找和學習的東西,并幫助我們識別潛在的導航問題。
佳能醫療系統(中國)有限公司對外開放網站如何保護您的個人信息
佳能醫療系統(中國)有限公司對外開放網站將始終保護您與我們共享的個人信息。佳能醫療系統(中國)有限公司對外開放網站將信息存儲在一個安全的內部控制環境中。比如,如果您進行在線采購,我們將通過SSL(加密套接字協議層)路由所有事務,并僅處理您的信用卡號以保護您的當前付款。SSL事務在交易后不保留您的信用卡號,并且不會使用該號碼進行市場宣傳。
如果佳能醫療系統(中國)有限公司對外開放網站要求提供一般人口統計信息,則該信息僅限于報表用途;會員保持匿名。電話號碼、電子郵件地址和郵政地址永遠不會與外部單位共享制作人口統計報表。
佳能醫療系統(中國)有限公司對外開放網站有時可能進行由另一家公司贊助的特殊競猜或促銷活動。要獲得參加資格,我們可能要求您提供個人信息。如果我們計劃與贊助商共享該信息,我們會預先聲明這一點。
您可以通知我們何時更改您的名字、地址、職務、電話號碼、電子郵件地址或您的內容偏好,以幫助 我們保持您個人信息的準確性。如果您在任何時候希望更新您的信息或偏好,或者您想停止從佳能醫療系統(中國)有限公司對外開放網站 接收信息,請隨時與我們聯系。電子郵件:webmaster@canon-medical.com.cn
如果更改您的電子郵件或郵政地址,請與佳能醫療系統(中國)有限公司對外開放網站聯系。為了進行適當的更正,請包括您的新舊地址。
佳能醫療系統(中國)有限公司對外開放網站歡迎您對本隱私保護策略發表看法和提出問題
請將您對佳能醫療系統(中國)有限公司對外開放網站隱私保護策略的看法或問題發到上面列出的地址之一(在線、電子郵件或郵政地址)。佳能醫療系統(中國)有限公司對外開放網站有時可能根據用戶反饋在需要時或適當時候更新、改進或更改此隱私保護策略。如果佳能醫療系統(中國)有限公司對外開放網站更改隱私保護策略,我們會相應地通知您。所有策略更改將張貼到網上,并且您將始終有機會更改您的偏好。
佳能醫療系統(中國)有限公司對外開放網站網站可能含有其它"非佳能醫療系統(中國)有限公司對外開放網站"站點的鏈接。佳能醫療系統(中國)有限公司對外開放網站 對這些網站的隱私保護策略的內容和做法不承擔責任。佳能醫療系統(中國)有限公司對外開放網站 鼓勵您閱讀這些鏈接站點的隱私保護聲明;他們的隱私保護做法可能與我們不同。